Dr. Fahad Zafar
Dr. Fahad Zafar
Dr. Fahad
Dr. Fahad Zafar is a European Board-Certified Periodontist and Dental Implant Surgeon with a strong interest in advanced contemporary techniques in surgical periodontics and implant therapy. Originally from Pakistan, he received his dental degree (Bachelor of Dental Surgery) from Riphah International University in 2011.
He began his professional journey by working for two years in the Surgical Oncology Department at the prestigious Shaukat Khanum Cancer Hospital. Following this, he moved to Italy to continue his education, where he completed a full-time, three-year European Board (E.F.P.) accredited specialist training program in Periodontics and Dental Implantology at the University of Turin.
Dr. Zafar also holds a Speciality Fellowship from the Royal College of Surgeons of Edinburgh. In addition to his clinical practice, he has contributed to dental education as an award-winning faculty member and served as a Clinical Instructor in the Department of Periodontics at the University of Malta.
Outside of dentistry, he enjoys playing tennis and spending quality time with family and friends.
Educational Background
- Bachelor of dental surgery 2011 (Pakistan)
Advanced Qualifications
- Three years specialist training program (Turin, Italy)
- Masters in Periodontics (2017)
- Masters in Implant dentistry (2018)
- E.F.P Board Certification (European federation of Periodontology)
- Membership in Periodontics (MPerio RCSEd)
- Fellowship in Periodontics (FPerio RCSEd)
Active Memberships
- Alumni, European Federation of Periodontology
- Organising Member, Irish Society of Periodontology
- Member, Italian Society of Periodontology
Teaching Role
- Clinical Instructor in Periodontics, University of Malta
Clinical Expertise
- Specializes in:
- Surgical Periodontics
- Dental Implantology
- Contemporary techniques in implant and periodontal therapy
Educational Background
- Honours graduate from [Your University Name]
- Awarded [Any Scholarships, e.g., Entrance Exhibition Scholarship]
Advanced Qualifications
- Diploma in [Specialty, e.g., Primary Care Dentistry]
- Membership of the Faculty of Dentistry, [Awarding Body, e.g., RCSI]
- Membership of [e.g., General Dental Surgery RCSI]
- Postgraduate Diploma in [e.g., Porcelain Veneers and Occlusion]
Professional Recognition
- Finalist for [Award Name] at the [Event Name] in [Years]
Active Memberships
- Active member of [Professional Body]
- Regularly represents or contributes to [Relevant Organizations or Academies]
Teaching Role
- [Job Title, e.g., Part-time Clinical Supervisor] at [Institution, e.g., Trinity College Dublin]
Clinical Expertise
- Specializes in:
- [e.g., Minimally Invasive Aesthetic Dentistry]
- [e.g., Restoration of Missing or Damaged Teeth]
- [Other Areas of Interest]
Trusted Treatments by Dr. Fahad Zafar
Effective diagnosis and management of gum infections to prevent tooth loss and support long-term oral health using minimally invasive techniques.
Advanced procedures to restore receding gums, improve aesthetics, and protect tooth roots from sensitivity and damage.
Permanent, natural-looking solutions for missing teeth using cutting-edge dental implants that restore function, confidence, and smile integrity.
Our Services
01
Gum Disease Treatment
Effective diagnosis and management of gum infections to prevent tooth loss and support long-term oral health using minimally invasive techniques.
02
Gum Recession Therapy
Advanced procedures to restore receding gums, improve aesthetics, and protect tooth roots from sensitivity and damage.
03
Implant Dentistry
Permanent, natural-looking solutions for missing teeth using cutting-edge dental implants that restore function, confidence, and smile integrity.
Why trust us? smile guaranteed!
Our experienced team ensures a comfortable and stress-free experience for every visit, prioritizing your care and satisfaction.
Why Choose Us
What Sets Us Apart:
- Highly Qualified Expertise
- European Board-Certified Periodontist with specialist training from the University of Turin, Italy.
- Advanced Academic Background
- Holds Master’s degrees in Periodontics and Implant Dentistry, along with Membership and Fellowship from the Royal College of Surgeons of Edinburgh.
- International Recognition & Affiliations
- Active member of the European Federation of Periodontology, Irish Society of Periodontology, and Italian Society of Periodontology.
- Focused Clinical Excellence
- Specialised in surgical periodontics and implant therapy using contemporary, evidence-based techniques.
- Commitment to Dental Education
- Award-winning faculty member and Clinical Instructor in Periodontics at the University of Malta.
- Patient-Centred Care
- Combines expertise with compassion, creating a supportive environment for optimal treatment outcomes.
We follow a patient-centric approach to ensure a smooth and comfortable dental experience.
01
Consultation Phase
Our consultation phase involves a thorough assessment to understand your dental needs and create a personalized treatment plan.
02
Treatment Plan
Our treatment plan is tailored to address your specific dental concerns with effective and personalized care solutions.
03
Smile Transformation
Our smile transformation phase enhances your oral health and aesthetics for a confident, radiant smile.
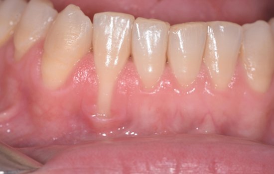
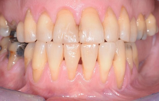
Transformations that speak for themselves
Before Surgery
After Surgery
After Surgery Final Results




We consistently deliver the best results!
What our patients are saying
Emma Roberts
Dental Patient
“The clinic provided excellent care with advanced treatments. My teeth feel healthier, and my smile is brighter than ever. Highly recommended!”
James Carter
Orthodontic Patient
“The braces treatment was smooth and effective. The team was professional, and now I have perfectly aligned teeth. Couldn’t be happier!”
Sophia Martinez
Cosmetic Dentistry
“My teeth whitening session was amazing! The results are incredible, and my confidence has skyrocketed. Truly the best dental care experience!”
Sophia Martinez
Cosmetic Dentistry
“My teeth whitening session was amazing! The results are incredible, and my confidence has skyrocketed. Truly the best dental care experience!”